Split-Control Professional
Bone Spreading and Condensing System | developed with Dr. Dr. Bonsmann
Restposten - Verfügbarkeit auf Nachfrage
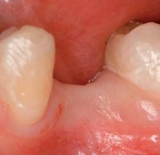
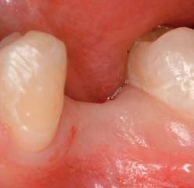
Split-Control Professional ist ein System zur sanften Verbreiterung des Alveolarkamms und gleichzeitiger lateraler Knochenverdichtung bei horizontalem Knochendefizit. Mit Hilfe spezieller schraubenförmiger Verdichtungs- und Spreizinstrumente (Spreader) kann horizontal resorbierter Knochen kontrolliert und sanft aufgedehnt werden (Bone Spreading). Zusätzlich wird dabei spongiöser Knochen dank der speziellen Geometrie der Spreader verdichtet (Bone Condensing) und so die Primärstabilität der inserierten Implantate erhöht.
Um noch gezielter auf die spezifischen Indikationen eingehen zu können, enthält das System Split-Control Professional eine Vielzahl weiterer Instrumente und eine breitere Auswahl an Spreader Größen als die Basissysteme Split-Control 12 mm und 15 mm.
Für weitere Informationen laden sie bitte folgende pdf-Broschüre. Download
Anwenderbericht Download
3D-Anwendungs-Video
Split Control OP Dr Bayer Dr Kistler
Split Control OP Dr Bonsmann Unterkiefer
Split Control OP Dr Bonsmann Oberkiefer
Hier können Sie den Gesamt-Katalog im pdf-Format herunterladen. Download
Wir sind uns der Tatsache bewusst, daß es sich bei einigen Artikeln in diesem Shop um beratungsintensive Medizinprodukte handelt, für die Sie sich nicht nach einfacher Betrachtung am Bildschirm entscheiden wollen.
Sollten Sie eine Präsentation durch unseren Außendienst oder ein Gespräch mit dem Entwicklungsingenieur oder einem Beratungsimplantologen in Ihrer Nähe wünschen, wählen Sie doch bitte den folgenden Direktkontakt.